치아 · 잇몸 미백 - 연세프라임치과

Tooth Gum Whitening
치아 · 잇몸 미백
자연스러운 환한 미소!
프라임 치아 미백
첫 번째

미국 FDA, 식품의약품안정성,
KFDA 인증 정품 미백제 사용

두 번째

잇몸과 입술을 보호하는 미백용 댐으로 불편감 없이 안전하게 시술

세 번째

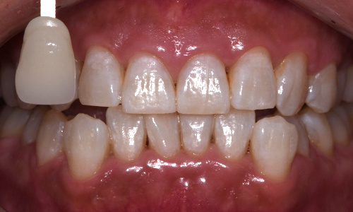
치아상태, 변색 정도에 따라
자연스러운 색상으로 보정

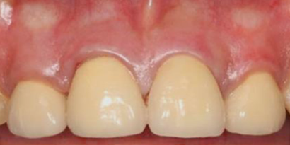
미백 전

전문가 미백 (다수의 치아를 함께 미백) 후

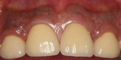
미백 전

실활치 미백 (변색된 하나의 치아만 미백) 후

까만 잇몸 콤플렉스 해방!
프라임 잇몸 미백
첫 번째

검은 잇몸 멜라닌 층 제거
선분홍색 회복

두 번째

세밀한 시술로
잇몸 손상 최소화

세 번째

1회 20분 시술로
드라마틱한 효과

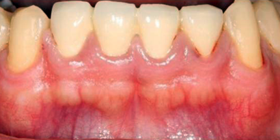
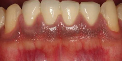
미백 전

미백 후

미백 전

미백 후


오시는 길
  • 주소

    서울특별시 영등포구 선유동2로 74, 디모어빌딩 6층
    (당산역 12번 출구, 선유도역 5번 출구)

  • 진료시간
    • 월 수 금 오전 10시 ~ 오후 7시
    • 화 목 오전 10시 ~ 오후 8시 30분 (야간진료)
    • 점 심 시 간 오후 1시 ~ 오후 2시
    • 토 요 일 오전 10시 ~ 오후 2시 (점심시간 없음)
    • 휴 진 일요일 및 공휴일 휴진
  • 진료상담
    02-2679-2879