치근단절제술 · 치아재식술 - 연세프라임치과

Root Resection & Transplantation
치근단절제술 · 치아재식술
신경치료에 실패한 치아
뽑지 않고 끝까지 살립니다.

신경치료에 실패한 치아는 가능하면 재신경치료를 하여 살리는 것이 좋습니다.
그러나 재신경치료하기 어려운 경우가 있으며,
이런 경우 치아 상태에 따라 수술적인 방법을 통해 다시 한 번 치아를 뽑지 않고 살릴 수 있습니다.

수술은 크게 치아를 발치 하지 않고 하는 치근단 절제술
치아를 발치한 후 처치하여 다시 재식하는 치아 재식술로 나뉘며,
치아 상황에 맞추어 둘 중 하나로 선택하여 진행합니다.

치근단 절제술과 치아 재식술은 고난이도 치과치료로 연세프라임치과는
오랜 임상경험을 가진 구강악안면외과 전문의 / 치과 보존과 전문의 대표원장의 협진으로 치료 성공률을 높입니다.









치근단 절제술

잇몸을 열고 뿌리 끝 염증 조직으로 직접 접근하여 염증의 원인을 제거하는 치료입니다.

단계 1

염증조직이 있는 뿌리 쪽 잇몸 절개

단계 2

뿌리 끝 낭종, 농양, 육아종 제거

단계 3

치아 뿌리 끝 삭제 및 신경관 밀폐

단계 4

절개한 잇몸 재위치 및 봉합

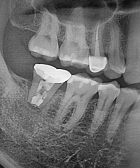
치료 전

치료 직후

치료 2년 후

치아 재식술

치아를 발치하여 염증의 원인을 제거 후 다시 그 자리에 치아를 심는 치료입니다.

단계 1

의도적으로 치아 발치

단계 2

뿌리주변 염증 원인 제거

단계 3

치아 뿌리 끝 삭제 및 신경관 밀폐

단계 4

다시 잇몸 안으로 재식

단계 5

치아 고정 작업

치료 전

치료 직후

치료 1년 반 후

치료 전

의도적 발치 직후 뿌리 끝 염증 관찰

치료 1년 반 후


오시는 길
  • 주소

    서울특별시 영등포구 선유동2로 74, 디모어빌딩 6층
    (당산역 12번 출구, 선유도역 5번 출구)

  • 진료시간
    • 월 수 금 오전 10시 ~ 오후 7시
    • 화 목 오전 10시 ~ 오후 8시 30분 (야간진료)
    • 점 심 시 간 오후 1시 ~ 오후 2시
    • 토 요 일 오전 10시 ~ 오후 2시 (점심시간 없음)
    • 휴 진 일요일 및 공휴일 휴진
  • 진료상담
    02-2679-2879