라미네이트 - 연세프라임치과

Laminate
라미네이트
본연의 아름다움까지
디자인 합니다.
첫 번째

개개인 고유 이미지, 비율을
고려한 스마일 라인 디자인

두 번째

내 치아같이 자연스러운
모양, 색상, 광택

세 번째

인체 친화적인 안전한
재료 사용으로 안심

앞니 라미네이트
  • 치아의 큰 범위의 손상/변색이 있는 경우
  • 전체적인 모양과 색상, 치아의 위치의 개선을 원하는 경우
  • 무삭제 또는 0.1~0.5mm 필요에 따른 치아의 선택적 삭제
  • 레진보다 강도 및 마모 저항성, 심미성 우수

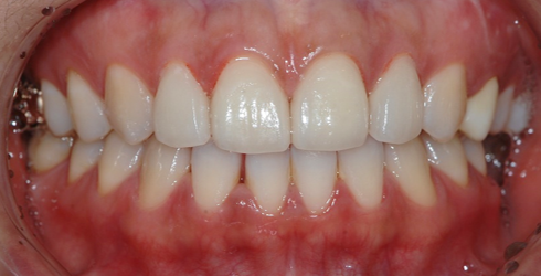
치료 전

왜소치 라미네이트

치료 전

치아사이 공간 라미네이트

치료 전

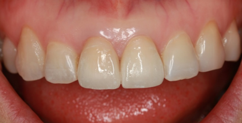
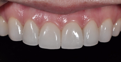
변색 및 모양 라미네이트

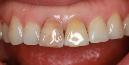
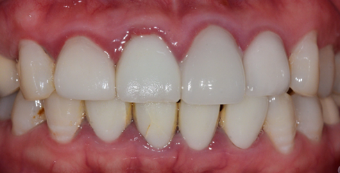
라미네이트 재치료

오래 되어 손상된 아래 앞니의 라미네이트를 재치료 하여 심미와 기능을 회복

치료 전

아래 앞니 라미네이트 재치료


오시는 길
  • 주소

    서울특별시 영등포구 선유동2로 74, 디모어빌딩 6층
    (당산역 12번 출구, 선유도역 5번 출구)

  • 진료시간
    • 월 수 금 오전 10시 ~ 오후 7시
    • 화 목 오전 10시 ~ 오후 8시 30분 (야간진료)
    • 점 심 시 간 오후 1시 ~ 오후 2시
    • 토 요 일 오전 10시 ~ 오후 2시 (점심시간 없음)
    • 휴 진 일요일 및 공휴일 휴진
  • 진료상담
    02-2679-2879