최소침습 앞니 반점치료 - 연세프라임치과

White Spot Lesion
최소침습 앞니 반점치료
최소침습 앞니 반점치료

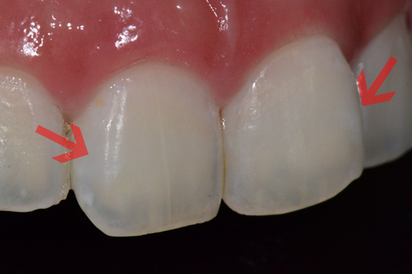
앞니에 생긴 하얀색의 반점을 화이트스팟(white spot)이라고 합니다.
치아의 미네랄 성분이나 구조 변화로 인하여 치아 표면이 주변과는 다르게 빛을 반사하여
말하거나 웃을 때 쉽게 노출되어 심미적인 불편감을 줍니다.
초기 충치의 일환으로 교정 치료 후 발생하는 빈도가 높고 불소 과다 섭취 및 법랑질 저형성증 등으로 나타나기도 합니다.

치아를 삭제하는 방법(기존의 레진, 라미네이트, 크라운 등)으로 치료하기 전
치아를 삭제하지 않고 레진을 치아에 침투시키는 원리로 치료합니다.
기존 재료를 사용함에 비해 치아 내부 투명도를 복원하기에 탁월하여 자연스러운 색과 질감으로 치아를 복원합니다.
치아 삭제가 필요하지 않는 것이 가장 큰 장점입니다.

치료 전

치료 후

치료 전

치료 후


오시는 길
  • 주소

    서울특별시 영등포구 선유동2로 74, 디모어빌딩 6층
    (당산역 12번 출구, 선유도역 5번 출구)

  • 진료시간
    • 월 수 금 오전 10시 ~ 오후 7시
    • 화 목 오전 10시 ~ 오후 8시 30분 (야간진료)
    • 점 심 시 간 오후 1시 ~ 오후 2시
    • 토 요 일 오전 10시 ~ 오후 2시 (점심시간 없음)
    • 휴 진 일요일 및 공휴일 휴진
  • 진료상담
    02-2679-2879