청년 임플란트 - 연세프라임치과

Youth Implant
청년 임플란트
자신감을 되찾아 드립니다

빠지고 무너져 내린 치아로 내 나이로 보이지 않았던 지난 모습,
건강한 미소를 다시 되찾아 드립니다.

턱 높이까지
회복된 사례

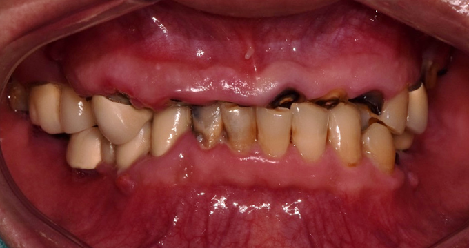
치료 전

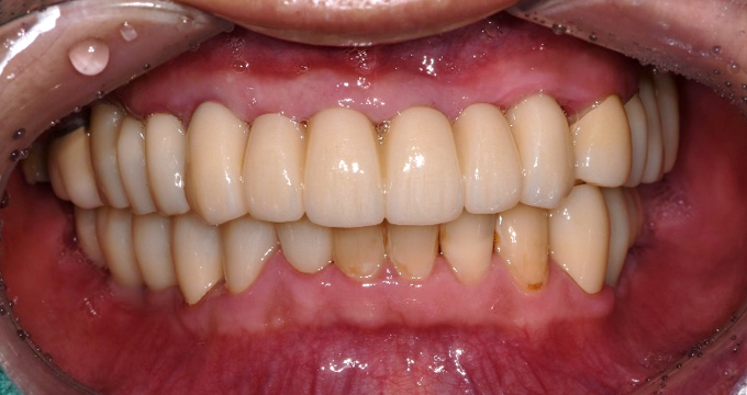
치료 후

치료 전

치료 후

치료 전

치료 후

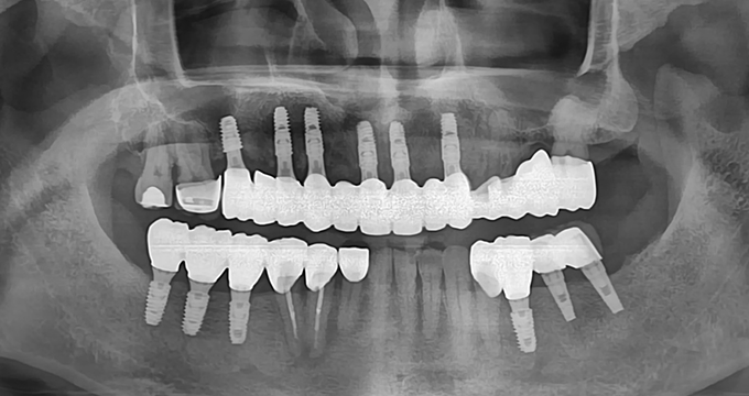
검사
결과

40대 남성 환자분으로, 위 아래 치아들이 전체적으로 망가짐에 따라 얼굴의 '수직고경'이라고 하는 하안면의 높이가 줄어들어 있었습니다.

치료
과정

이러한 경우에 당일 1시간 내외의 검진과 상담으로 급하게 치료 결정를 하기보다 다음 내원까지 어떤 치아를 어떤 치료로 살릴지, 빼야만 하는지, 빼고 나서는 어떤 순서로 치료하는지 신중하게 치료 계획 세운 후 여러 단계를 걸쳐 치료를 진행하였습니다.

치료
결과

무너졌던 교합고경이 회복되어 치료 전 합죽이처럼 보이던 하안모가 연령에 맞는 정상적인 외형으로 복구되었습니다.


오시는 길
  • 주소

    서울특별시 영등포구 선유동2로 74, 디모어빌딩 6층
    (당산역 12번 출구, 선유도역 5번 출구)

  • 진료시간
    • 월 수 금 오전 10시 ~ 오후 7시
    • 화 목 오전 10시 ~ 오후 8시 30분 (야간진료)
    • 점 심 시 간 오후 1시 ~ 오후 2시
    • 토 요 일 오전 10시 ~ 오후 2시 (점심시간 없음)
    • 휴 진 일요일 및 공휴일 휴진
  • 진료상담
    02-2679-2879