충치치료 - 연세프라임치과

Cavity Treatment
충치치료
양심진단,
꼭 필요한 치료만 합니다.

충치가 생겼다고, 치료가 다 필요한 것은 아닙니다.

프라임은 충치가 더 이상 진행되지 않는 ‘정지우식’과
충치 진행속도가 빠른 ‘진행성우식’을 최신 장비를 사용해 정확하게 진단하여
과잉진료 없이 치료가 필요한 충치만을 치료합니다.

Q-ray는 충치 세균이 분비하는 물질(Porphyrin)을 붉은색으로
포착하여 충치의 진행성 여부를 판단하는 특수 장비입니다.

일반 구내 사진

Q-Ray로 진단

단계 증상 치료
1단계 치아 가장 바깥면(법랑질)에 생긴 통증 없는 작은 충치
  • 불소치료
  • 관리 교육 및 정기검진
2단계 치아 안쪽 상아질까지 진행 된 충치
  • 레진
  • 인레이/온레이(세라믹, 금)
3단계 치아 신경까지 진행되어 통증이 매우 심한 충치
심한 충치로 인해 이미 신경이 괴사된 경우
  • 신경치료
  • 크라운(세라믹, 금)
재료와 술식에
타협하지 않습니다.

충치 치료/신경치료/파절 치아 치료의 성공 여부는 타액(침)으로부터의 방수와 방습이 중요합니다.


프라임은 치료 결과를 보장하기 위해 필요한 경우
시간이 걸리더라도 러버댐을 사용하여 치아를 격리한 후 치료를 시행합니다.

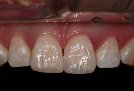
치료 전

러버댐 후

치료 후

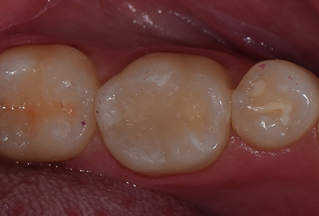
치료 전

러버댐 후

치료 후

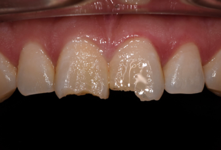
치료 전

러버댐 후

치료 후


오시는 길
  • 주소

    서울특별시 영등포구 선유동2로 74, 디모어빌딩 6층
    (당산역 12번 출구, 선유도역 5번 출구)

  • 진료시간
    • 월 수 금 오전 10시 ~ 오후 7시
    • 화 목 오전 10시 ~ 오후 8시 30분 (야간진료)
    • 점 심 시 간 오후 1시 ~ 오후 2시
    • 토 요 일 오전 10시 ~ 오후 2시 (점심시간 없음)
    • 휴 진 일요일 및 공휴일 휴진
  • 진료상담
    02-2679-2879