신경치료 - 연세프라임치과

Neurological Treatment
신경치료
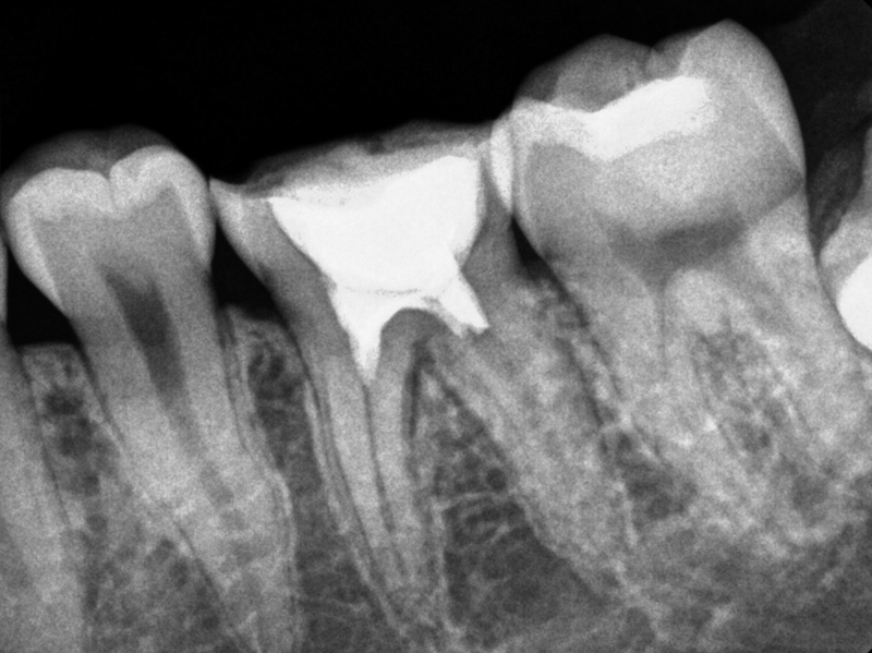
신경치료란?

신경치료란 감염이 된 치아 신경을 제거한 후 충전 재료를 채우는 과정을 말합니다.
주로 충치가 심하거나, 치아에 균열이 가거나,
차갑고 뜨거운 자극에 과민한 반응을 보이는 경우에
치아를 발치하지 않고 최대한 보존하기 위한 방법입니다.

연세프라임치과는 치아를 최대한 발치하지 않고 신경치료를 통해 보존할 수 있도록 노력하며
꼼꼼한 술식으로 장기적으로도 재발하지 않고 사용할 수 있도록 노력합니다.


또한 신경 일부가 감염된 경우 생활치수 치료를,
기존에 신경치료한 치아가 재발한 경우 재신경치료를 하여 치아를 최대한 보존하기 위해 노력합니다.
모든 치료는 ‘내 치아라면’이라는 생각에서부터 시작합니다.









신경치료 · 생활치수치료 시
고급 MTA 재료를 고집하는 이유는?

기존의 신경치료는 신경 일부에 생긴 염증에도 모든 신경조직을 제거하였습니다.
그러나 새로운재료의 개발로(MTA) 신경을 모두 제거하지 않는 술식도 가능하게 되었습니다.


생활치수치료란 치아 신경의 일부만 감염되거나 신경의 감염은 없이 노출되는 경우,
신경 전체를 제거하지 않고 살아 있는 신경 부위를 유지하면서
치아를 최대한 보존하는 신경치료 방법입니다.


이 때 사용하는 MTA 재료는 생체 조직 적합성이 우수하고
밀폐성이 기존 신경치료 재료에 비해 월등하여 세균 차단 효과가 뛰어납니다.

기존 신경치료

생활치수치료

기존 신경치료 vs 생활치수치료
고무 성분 바이오 세라믹
신경조직을 뿌리 끝까지 제거 시술법 세균이 침투한 부위까지만 신경조직 제거
없음 치근재생효과(소아환자 기준) 있음
중간 생체 친화성 높음
평균 3-4회 치료 횟수 평균 1-2회








재신경치료

신경치료를 했는데도 염증이 재발하는 경우, 치아 상태에 따라 재신경치료가 가능합니다.
재신경치료는 기존에 신경치료로 충전한 재료를 모두 제거하고 신경치료를 다시 하는 술식으로,
신경치료에 비해 난이도가 높지만 치아를 보존할 수 있는 중요한 술식입니다.


오시는 길
  • 주소

    서울특별시 영등포구 선유동2로 74, 디모어빌딩 6층
    (당산역 12번 출구, 선유도역 5번 출구)

  • 진료시간
    • 월 수 금 오전 10시 ~ 오후 7시
    • 화 목 오전 10시 ~ 오후 8시 30분 (야간진료)
    • 점 심 시 간 오후 1시 ~ 오후 2시
    • 토 요 일 오전 10시 ~ 오후 2시 (점심시간 없음)
    • 휴 진 일요일 및 공휴일 휴진
  • 진료상담
    02-2679-2879