고난이도 사랑니 발치 - 연세프라임치과

Extraction Wisdom Teeth
고난이도 사랑니 발치
치료불가 사랑니?
프라임에겐 없습니다.

매복된 사랑니라서, 사랑니 뿌리가 휘어서, 사랑니가 신경과 가까워서…
사랑니 발치가 어렵다고 이야기 들으셨나요?

프라임은 타 치과에서 어려워하는 사랑니 발치를 안정적으로 잘하는
고난이도 사랑니 전문 치과입니다.

임상경험이 풍부한 구강악안면외과 전문의 대표원장이 진단은 꼼꼼하게,
발치는 빠르고 정확하게 하여 사랑니 발치 시 통증을 최소화 합니다.

첫 번째

구강악안면외과 전문의
대표원장 직접 진료

두 번째

3D CT를 통한
정밀 검사 및 진단

세 번째

주위 치아, 구강 환경을
고려한 체계적 치료계획

네 번째

발치 후 지혈,
감염 관리

신경 가까이 있는
매복 사랑니 발치 사례

발치 전

사랑니 발치 후

검사
결과

20대 남성 환자분으로, 매복된 사랑니의 머리 부위와 뿌리부위 모두가 신경에 매우 근접하여 신경손상의 위험이 큰 상태였습니다.

치료
과정

어려운 케이스인 만큼 더 신중하게 발치를 진행하다 보니일반적인 경우보다 시간이 더 소요되었지만, 환자분께서 씩씩하게 잘 참으셔서 신경 손상 없이 안전하게 발치를 하였습니다.

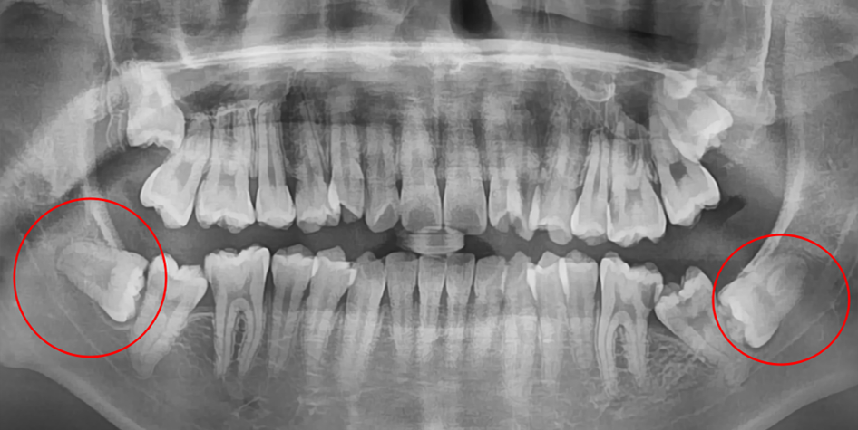
신경 가까이 있던
뿌리가 휜 사랑니 발치 사례

발치 전

사랑니 발치 후

검사
결과

20대 여성 환자분으로, 왼쪽 아래 사랑니 부위에 염증이 있는 상태로, 매복 사랑니의 뿌리 끝 부위가 심하게 휘고 신경까지 붙어 있는 상황이었습니다.

치료
과정

이런 케이스는 뿌리 끝까지 빼면서 신경까지 손상되는 위험성이 더 크기에 뿌리 일부를 남겨두는 것이 더 안전할 수 있습니다.
다행히 신경 손상 없이 뿌리 모두 안전하게 발치하였습니다.

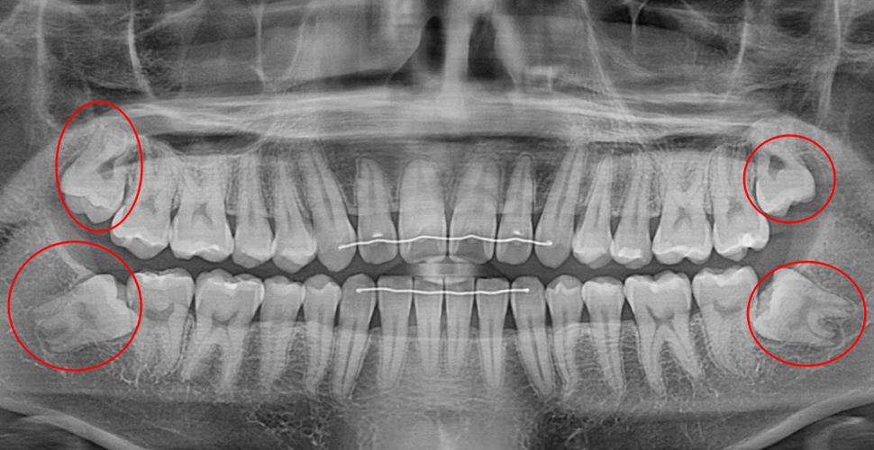
의식하진정마취(수면마취)로
당일 사랑니 4개 발치

발치 전

사랑니 발치 후

검사
결과

20대 여성 환자분으로, 사랑니가 4개 있는 상태로 불편감이 있어 모두 발치를 원하셨습니다.
약 2주 후 출국 예정으로 불가피하게 당일 4개를 모두 발치를 해야 했었습니다. * 일반적으로는 사랑니 4개를 발치 할 때 왼쪽, 오른쪽으로 나누어 최소 1-2주 간 텀을 두고 발치를 합니다.

치료
과정

개수도 많기도 하고, 환자분이 시술 중 통증도 느끼고 싶지 않으셔서
의식하진정마취(수면마취)로 발치를 진행하였고, 통증 없이 치료를 마치셔서 만족하셨습니다.


오시는 길
  • 주소

    서울특별시 영등포구 선유동2로 74, 디모어빌딩 6층
    (당산역 12번 출구, 선유도역 5번 출구)

  • 진료시간
    • 월 수 금 오전 10시 ~ 오후 7시
    • 화 목 오전 10시 ~ 오후 8시 30분 (야간진료)
    • 점 심 시 간 오후 1시 ~ 오후 2시
    • 토 요 일 오전 10시 ~ 오후 2시 (점심시간 없음)
    • 휴 진 일요일 및 공휴일 휴진
  • 진료상담
    02-2679-2879