잇몸치료 - 연세프라임치과

Gum Treatment
잇몸치료
흔한 잇몸질환,
하지만 더 까다롭게 치료합니다.

잇몸질환은 성인의 80% 이상이 앓고 있을 정도로 흔한 질환입니다.

초기의, 국소적인 잇몸질환은 스케일링과 잇몸치료를 통해 치료와 관리가 가능하지만,
치료 시기를 놓치고 방치할 경우 염증이 잇몸뼈까지 녹여 치아의 수명이 줄어들게 됩니다.

흔하지만, 가볍게 볼 수 없는 잇몸질환.
프라임은 단계별로 까다롭게 치료합니다.

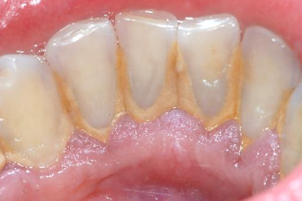
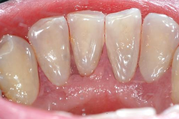
치료 전

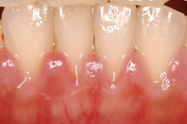
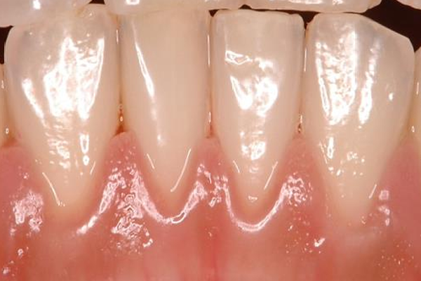
치료 후

치료 전

치료 후

단계 증상 치료
1단계 치아와 잇몸 사이에 치태 및 치석이 생김
(치은염)
  • 정기 검진 및 스케일링
2단계 잇몸 속까지 치석과 염증 발생
(초기 치주염, 국소 치주염)
  • 치근활택술
  • 치주소파술
  • 치주재생술
3단계 잇몸 깊이 파고든 염증으로 잇몸뼈가 녹기 시작
(중기 치주염, 전반적 치주염)
  • 치주소파술
  • 치은박리소파술
4단계 염증이 잇몸 뼈와 잇몸을 녹여 치아가 심하게 흔들리고 잇몸에서 고름이 나옴
(말기 치주염)
  • 치은박리소파술
  • 치아의 발치

오시는 길
  • 주소

    서울특별시 영등포구 선유동2로 74, 디모어빌딩 6층
    (당산역 12번 출구, 선유도역 5번 출구)

  • 진료시간
    • 월 수 금 오전 10시 ~ 오후 7시
    • 화 목 오전 10시 ~ 오후 8시 30분 (야간진료)
    • 점 심 시 간 오후 1시 ~ 오후 2시
    • 토 요 일 오전 10시 ~ 오후 2시 (점심시간 없음)
    • 휴 진 일요일 및 공휴일 휴진
  • 진료상담
    02-2679-2879