앞니 임플란트 - 연세프라임치과

Front Tooth Implant
앞니 임플란트
본래 내 치아처럼,
자연스럽게!

앞니는 웃거나 대화할 때 가장 먼저 보이는 치아입니다.

인상을 좌우하기 때문에 프라임의 앞니 임플란트는
저작 기능 뿐만 아니라 심미성까지 충족시킵니다.

첫 번째

잠깐 쓰는 임시치아도 자연스럽게

두 번째

프라임만의 맞춤형 임플란트

세 번째

환자의 잇몸 두께, 모양,
주변 치아 모양을 고려

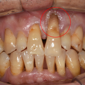
뿌리가 드러난 앞니,
임플란트 + 뼈이식 + 잇몸이식 사례

처음 내원 당시

임플란트 식립

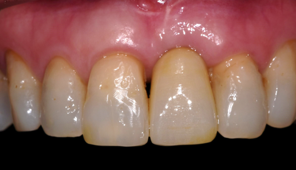
치료 후

검사
결과

50대 남성 환자분으로, 뿌리가 거의 드러난 왼쪽 위 앞니는 잇몸뼈도 많이 녹고, 잇몸도 망가진 상태였습니다.
임플란트만 심을 경우 티타늄 뿌리가 보이거나 치아 보철이 지금처럼 길게 보여 비심미적일 것으로 예상되었습니다.

치료
과정

지방에서 오신 만큼, 내원 횟수도 최소화하고 심미적인 만족감도 높이기 위해
치아 발치와 함께 잇몸뼈 이식, 임플란트 식립, 잇몸이식을 한번에 신속하게 진행하였습니다.

치료
결과

잇몸이식의 효과로 오른쪽 위 앞니 뿌리도 덮어져 시술 전보다 앞니의 외형이 많이 좋아졌습니다.
기존 치아사이 공간도 오른쪽 윗니 치아에 레진이라는 치과 재료를 통해 치아 모양을 예쁘게 만들어 주었고
임플란트 치아 보철도 심미적인 균형을 맞추어 치료를 완료했습니다.

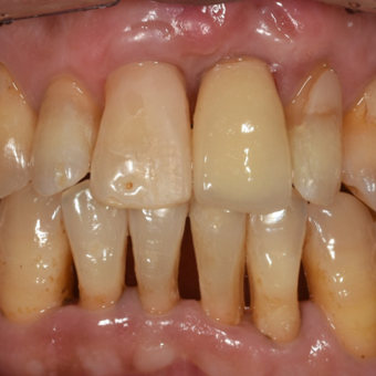
흔들리는 왼쪽 앞니,
임플란트 치료 사례

처음 내원 당시

임시치아

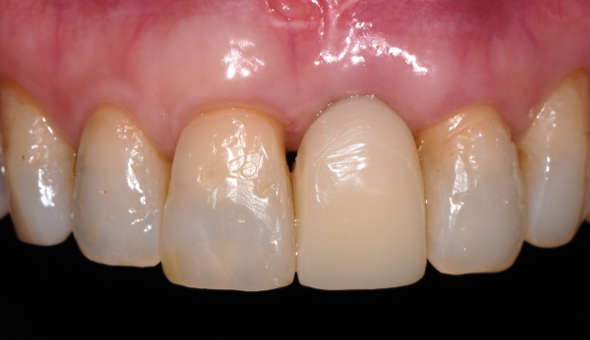
최종 완성

검사
결과

50대 여성 환자분으로, 위쪽 앞니 하나의 치아 뿌리를 잡아주는 잇몸뼈가 완전히 녹고 파괴되어 발치가 불가피한 상태였습니다.

치료
과정

이처럼 잇몸뼈가 퇴축된 경우, 임플란트 치아 길이가 위아래로 길어져 심미성이 떨어지게 됩니다. 추가적인 잇몸이식을 통하여 잇몸의 길이를 확보해 주어야 하는 경우였지만, 환자분께서 잇몸이식을 두려워 하셨고 우선 잇몸 이식 없이 임플란트를 시행하되, 임시치아의 모양을 보면서 차후에 추가적인 잇몸이식을 시행하는 것으로 치료계획을 세웠습니다.

치료
결과

자세하게 보지 않으면 모를 정도로 차이가 미세해서 잇몸이식 없이 치료를 완료하였습니다.


오시는 길
  • 주소

    서울특별시 영등포구 선유동2로 74, 디모어빌딩 6층
    (당산역 12번 출구, 선유도역 5번 출구)

  • 진료시간
    • 월 수 금 오전 10시 ~ 오후 7시
    • 화 목 오전 10시 ~ 오후 8시 30분 (야간진료)
    • 점 심 시 간 오후 1시 ~ 오후 2시
    • 토 요 일 오전 10시 ~ 오후 2시 (점심시간 없음)
    • 휴 진 일요일 및 공휴일 휴진
  • 진료상담
    02-2679-2879