인레이 · 크라운 - 연세프라임치과

Tooth Inlay Crown
인레이 · 크라운
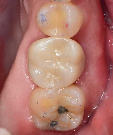
인레이

충치나 파절로 치아가 파절, 손상되었지만 신경에는 이상이 없는 경우
치아의 일부를 삭제하고 금, 세라믹 등으로 결손 부위를 회복하는 치료방법

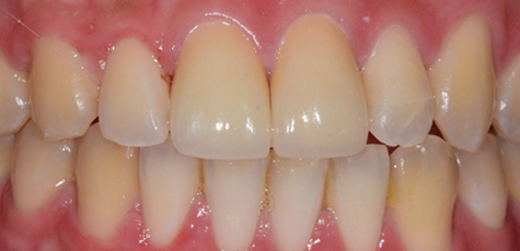
치료 전

세라믹 인레이 제작

치료 후

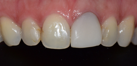
크라운
  • 치아의 과도한 손상/변색이 있는 경우
  • 치아의 위치 변화가 큰 경우
  • 기존 치료를 크라운으로 한 경우

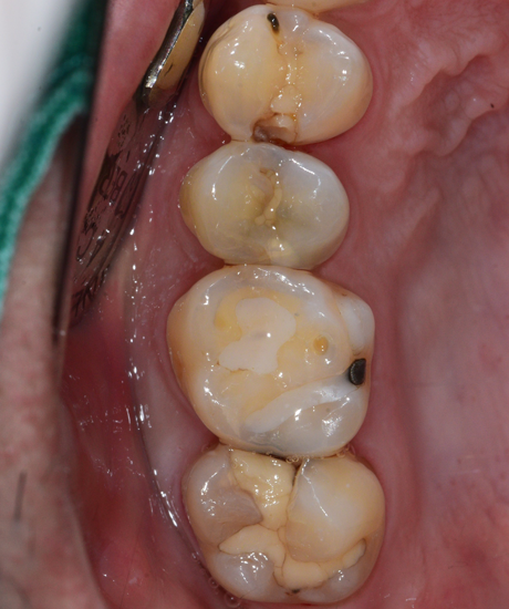
치료 전

기존 크라운 교체 & 주위 치아 레진 빌드업 치료

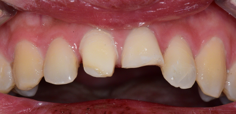
교통사고로 탈락된 크라운과 파절된 치아

크라운 치료로 회복

치료 전

어금니 재신경 치료

크라운 치료 후


오시는 길
  • 주소

    서울특별시 영등포구 선유동2로 74, 디모어빌딩 6층
    (당산역 12번 출구, 선유도역 5번 출구)

  • 진료시간
    • 월 수 금 오전 10시 ~ 오후 7시
    • 화 목 오전 10시 ~ 오후 8시 30분 (야간진료)
    • 점 심 시 간 오후 1시 ~ 오후 2시
    • 토 요 일 오전 10시 ~ 오후 2시 (점심시간 없음)
    • 휴 진 일요일 및 공휴일 휴진
  • 진료상담
    02-2679-2879