전체 임플란트 - 연세프라임치과

Full Implant
전체 임플란트
수술 후 얼굴
변화까지 고려

10개 이상의 임플란트를 수술하는 큰 범위의 임플란트 수술은 임상경험이 많은 숙련된 전문의의 섬세한 기술력과 수술노하우가 중요합니다. 프라임은 윗턱과 아래턱의 교합, 잇몸뼈의 상태 및 얼굴변화 등 모든 것을 고려해 식립 합니다.

전체 임플란트 사례

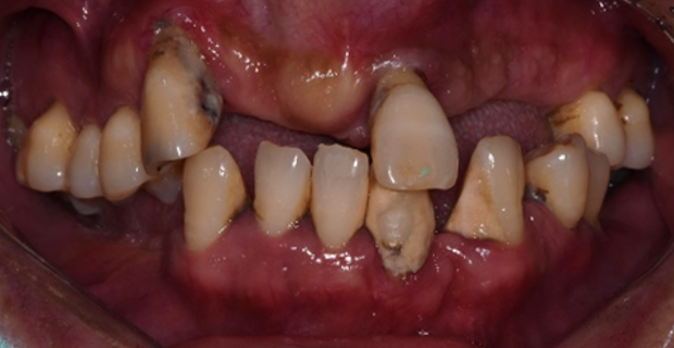
치료 전

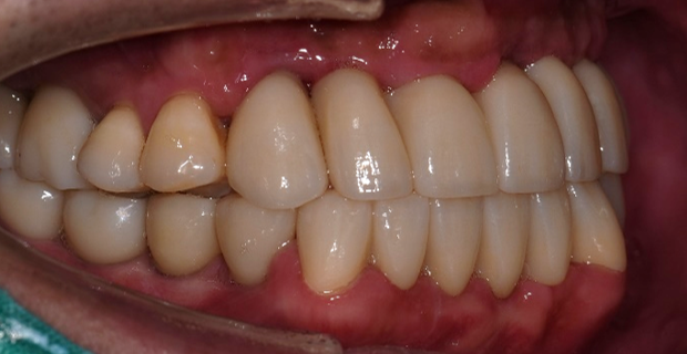
치료 후

치료 전

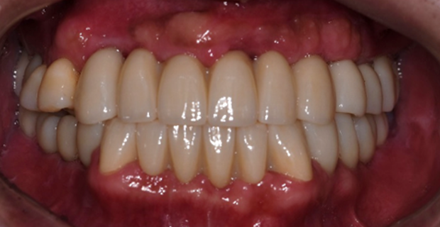
치료 후

치료 전

치료 후

치료 전

치료 후

검사
결과

40대 남성 환자분으로, 전반적으로 치아들이 치주염에 이환되어 살릴 수 있는 치아가 거의 없었던 경우입니다.
살릴 수 있는 본인의 치아는 꼭 살리고 싶다고 요청하셨습니다.

치료
결과

전체 치아를 발치하지 않고 보존하여 쓸 수 있는 오른쪽 위 작은 어금니들과 아래쪽 송곳니들을 살려 전체 치아 치료를 해 드렸습니다.
수직고경도 회복하여 심미적으로도 우수하게 좋아졌습니다.


오시는 길
  • 주소

    서울특별시 영등포구 선유동2로 74, 디모어빌딩 6층
    (당산역 12번 출구, 선유도역 5번 출구)

  • 진료시간
    • 월 수 금 오전 10시 ~ 오후 7시
    • 화 목 오전 10시 ~ 오후 8시 30분 (야간진료)
    • 점 심 시 간 오후 1시 ~ 오후 2시
    • 토 요 일 오전 10시 ~ 오후 2시 (점심시간 없음)
    • 휴 진 일요일 및 공휴일 휴진
  • 진료상담
    02-2679-2879