임플란트 유지 틀니 - 연세프라임치과

Implant Retention Dentures
임플란트 유지 틀니
틀니에 씹는 힘을 더하다

임플란트 틀니는 기존 일반틀니 사용이 불편하고 임플란트 비용이 부담되신 분들의 치료 고민을 덜어드립니다.

앞쪽 잇몸에 임플란트를 2~4개를 심은 뒤 바(bar)나 자석, 똑딱 단추와 같은 연결 장치를 사용해 틀니를 끼우기 때문에, 입 안에서 틀니가 빠질 염려가 없고 질긴 음식도 한결 씹기 편해집니다.

임플란트 유지
전체 틀니 사례

처음 내원 당시

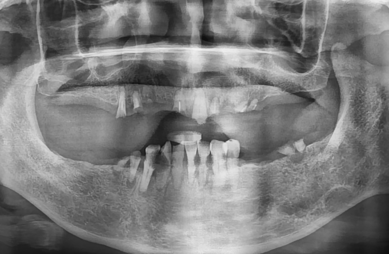
임플란트 식립

임플란트 똑딱이 연결

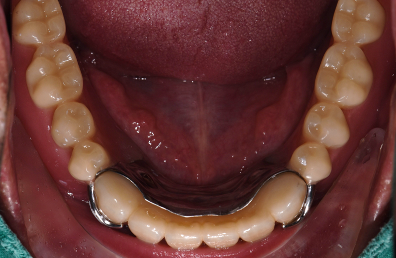
아랫 틀니 똑딱이 연결

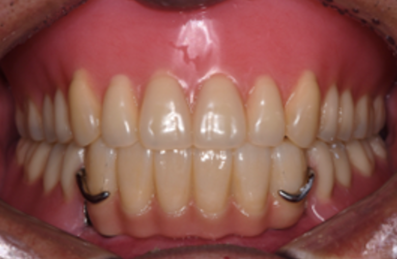
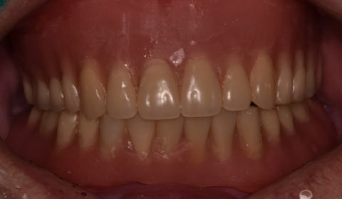
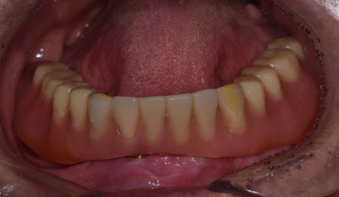
치료 완료

검사
결과

80대 환자분으로, 전체틀니를 사용 중이셨는데 아래 틀니가 자주 잇몸에서 떨어져 불편함을 호소하셨습니다.

치료
과정

전체 틀니를 다시 제작하는 방법도 있지만, 최소한의 임플란트로 틀니를 잡아주는 치료를 결정하였습니다. 고령인 점 고려하여 무리가 가지 않게 무절개/최소절개로 4개의 임플란트를 식립하고 임플란트 똑딱이 장치를 이용하여 임플란트와 기존 쓰시던 틀니를 연결하였습니다.

치료
결과

기존에 덜그럭거리던 틀니가 임플란트에 고정되어 씹는 것이 훨씬 수월하다고 하셨습니다.

임플란트 유지
부분 틀니 사례

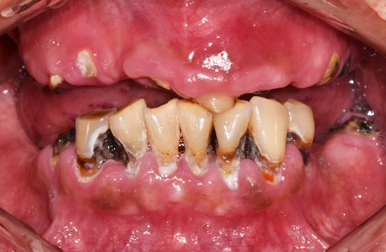
치료 전

임플란트 시술 후

치료 전

임플란트 시술 후

하악 부분 틀니 및 상악 전체 틀니 제작 후

하악 부분 틀니 및 상악 전체 틀니 제작 후

검사
결과

60대 환자분으로, 최소 비용으로 전체 치아를 만들고 싶다고 하셨습니다. 전체 틀니를 하는 경우가 최소비용으로 치료할 수 있는 방법이나 아래쪽 틀니를 아무리 잘 만든다 하여도 항상 움직이는 혀와 틀니를 받혀주는 잇몸뼈가 부족해서 사용할 때마다 불편감이 클 것으로 예상되었습니다.

치료
과정

따라서 아래쪽 앞니 쪽에 틀니를 잡아줄 수 있는 임플란트 두 개를 식립하여 두 개의 임플란트들을 연결하여 아래 앞니 6개를 만들어 드린 후, 어금니쪽은 부분 틀니로 보강하는 치료 방법을 선택하였습니다. 위쪽은 전체 틀니를 만들어 드렸습니다.

치료
결과

임플란트를 이용하여 부분적으로 치아를 만들고, 이 치아에 일정 부분의 힘을 지탱시키는 형식의 부분틀니는 전체 틀니에 비해 씹는 힘에 잘 버티고 혀나 볼의 움직임에 틀니가 탈락하지 않아 치료가 잘 마무리 되었습니다.


오시는 길
  • 주소

    서울특별시 영등포구 선유동2로 74, 디모어빌딩 6층
    (당산역 12번 출구, 선유도역 5번 출구)

  • 진료시간
    • 월 수 금 오전 10시 ~ 오후 7시
    • 화 목 오전 10시 ~ 오후 8시 30분 (야간진료)
    • 점 심 시 간 오후 1시 ~ 오후 2시
    • 토 요 일 오전 10시 ~ 오후 2시 (점심시간 없음)
    • 휴 진 일요일 및 공휴일 휴진
  • 진료상담
    02-2679-2879