당산 연세프라임치과 ㅣ 당산역 12번 출구, 선유도역 5번출구

팝업레이어 알림

73d34cc791f029c968b9934bc9884304_1779756922_0146.jpg
 


  • 김진근 대표원장
  • 연세대 치과 대학·대학원 졸업
  • 구강악안면외과 전문의
  • 통합치의학과 전문의
  • 조원경 대표원장
  • 연세대 치과 대학·대학원 졸업
  • 치과보존과 전문의

건강보험 진료는 물론 임플란트까지 ─

진심을 더한 분야별
전문의 책임진료
더 알아보기
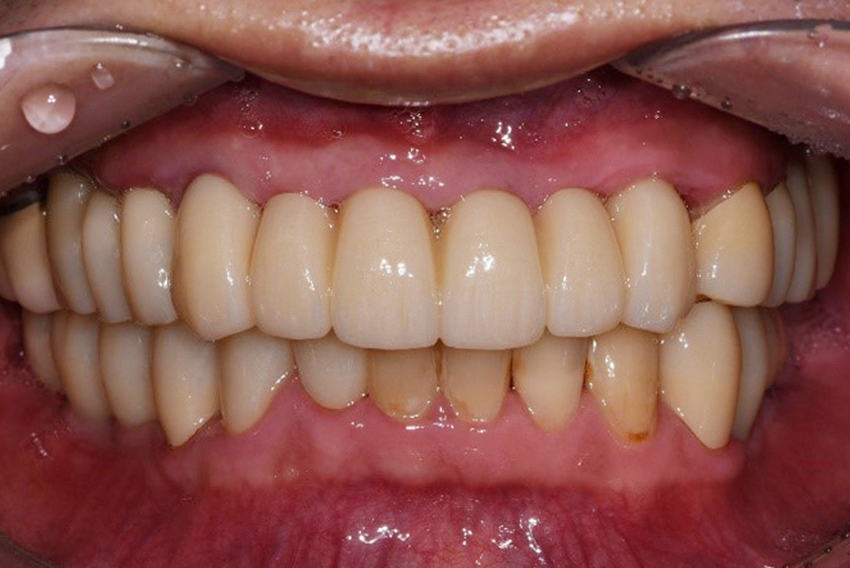
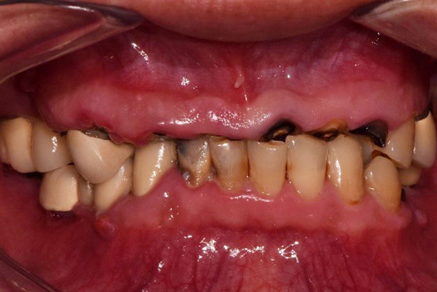
Before
After
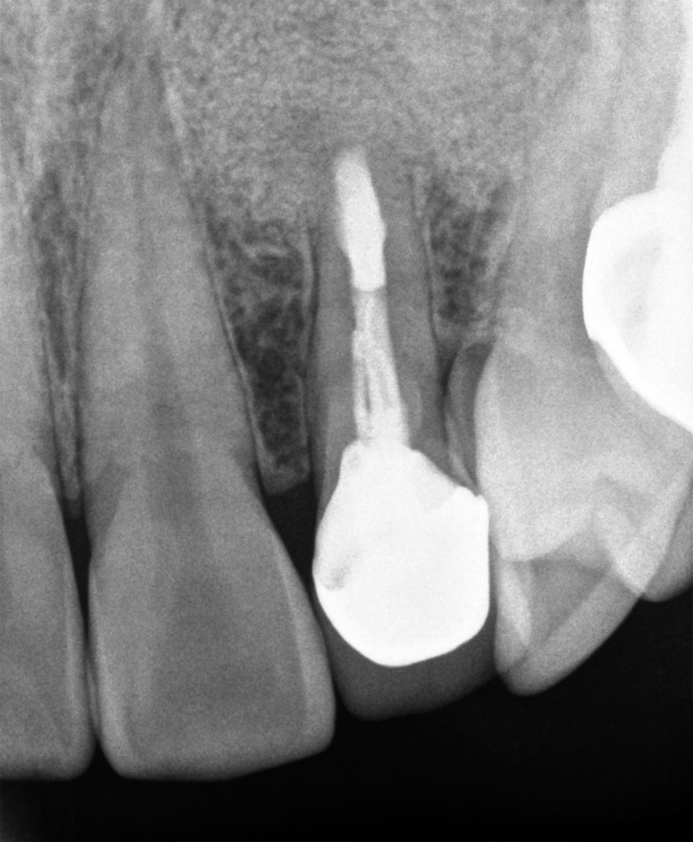
자연치아 클리닉 ─
뽑지 않고
끝까지 살립니다

더 이상 치료가 어렵다는 신경치료 실패 치아도 살려냅니다.

더 알아보기
임플란트 · 틀니 클리닉 ─
매일 환하게 웃을 수 있는
행복을 드립니다

빠지고 무너진 치아로 잃어버렸던 내 모습을 되찾아 드립니다.

더 알아보기
Before
After
─ 사랑니 · 턱관절 클리닉 ─
치료불가 사랑니?
프라임에겐 없습니다

신경 가까이 있는 매복 사랑니도
프라임은 안전하게 발치합니다.

더 알아보기
의식하진정 '수면마취' 클리닉 ─
치과 공포증
편안하게 잠재우다

치과 공포증과 트라우마가 있나요? 이젠 편안하게 치료 받으세요.

더 알아보기
연세프라임 둘러보기 ─
최고의 시설과 편안함
진심을 더한 책임진료
더 둘러보기
의원전경
의원전경
대기실
대기실
상담실
진료실
진료실
진료실

오시는 길
  • 주소

    서울특별시 영등포구 선유동2로 74, 디모어빌딩 6층
    (당산역 12번 출구, 선유도역 5번 출구)

  • 진료시간
    • 월 수 금 오전 10시 ~ 오후 7시
    • 화 목 오전 10시 ~ 오후 8시 30분 (야간진료)
    • 점 심 시 간 오후 1시 ~ 오후 2시
    • 토 요 일 오전 10시 ~ 오후 2시 (점심시간 없음)
    • 휴 진 일요일 및 공휴일 휴진
  • 진료상담
    02-2679-2879